Магнитно-резонансная томография (МРТ) артерий головного мозга https://www.neuromed.ua/ru/services/mrt-arteryy-holovnoho-mozgha/ — это неинвазивное диагностическое исследование, позволяющее получить высокоточные изображения сосудов, питающих мозг. В отличие от классической МРТ, ангиография акцентирует внимание именно на состоянии артериальной сети. Метод используется для выявления патологий кровоснабжения, таких как аневризмы, стенозы, тромбозы и мальформации.
Принцип работы МР-ангиографии
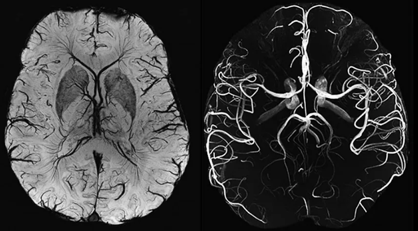
МРТ основана на явлении ядерного магнитного резонанса. Под действием магнитного поля и радиочастотных импульсов атомы водорода в тканях организма начинают излучать сигналы, которые регистрируются и преобразуются в детализированные изображения. МР-ангиография (МРА) использует специальные протоколы, выделяющие ток крови внутри сосудов, делая артерии головного мозга отчетливо видимыми на снимках.
Существует два основных типа МР-ангиографии:
-
Безконтрастная МРА — применяется чаще всего, безопасна и информативна.
-
Контрастная МРА — требует введения контрастного вещества (обычно гадолиния) для повышения визуализации сосудов, особенно при подозрении на опухоли или сосудистые аномалии.
Показания к проведению МРТ артерий головного мозга
МРТ сосудов мозга назначается врачом-неврологом, нейрохирургом или ангиологом в следующих случаях:
-
Подозрение на аневризму или артериовенозную мальформацию
-
Частые головные боли неясной природы
-
Хроническое головокружение, обмороки
-
Симптомы ишемии: онемение конечностей, слабость, потеря речи
-
Подозрение на инсульт или транзиторные ишемические атаки
-
Травмы головы
-
Контроль состояния после сосудистых операций или стентирования
Подготовка к процедуре
МРТ артерий головного мозга не требует специальной подготовки. Однако пациенту рекомендуется соблюдать несколько простых правил:
-
За 1–2 часа до исследования не употреблять кофеин и никотин
-
Сообщить врачу о наличии металлических имплантов, кардиостимуляторов, клаустрофобии
-
При проведении контрастной МРА — предварительно сдать анализ на креатинин для оценки функции почек
Как проходит исследование
Процедура проходит в специально оборудованной комнате. Пациент ложится на выдвижной стол, который задвигается в томограф. Во время сканирования необходимо сохранять полную неподвижность. Врач наблюдает за состоянием пациента из соседней комнаты и при необходимости поддерживает голосовую связь.
Средняя продолжительность процедуры составляет 20–40 минут. Если используется контраст, время может увеличиться.
Расшифровка результатов
Результаты исследования интерпретирует врач-рентгенолог. В заключении указываются:
-
Состояние просвета артерий: наличие сужений (стенозов), расширений (аневризм)
-
Степень кровотока в сосудах
-
Признаки тромбозов, мальформаций, васкулитов
-
Возможные признаки ишемических изменений тканей мозга
Снимки и заключение передаются лечащему врачу, который принимает решение о тактике дальнейшего лечения.
Преимущества МРТ артерий головного мозга
Метод обладает рядом важных преимуществ:
-
Высокая точность — позволяет выявлять мельчайшие сосудистые изменения
-
Безопасность — отсутствует ионизирующее излучение
-
Неинвазивность — нет необходимости в пункции сосудов, как при классической ангиографии
-
Возможность многократного проведения — подходит для динамического наблюдения
Ограничения и противопоказания
Несмотря на безопасность, процедура имеет ряд ограничений:
-
Наличие металлических предметов в теле (кардиостимуляторы, импланты)
-
Беременность (особенно I триместр — по показаниям)
-
Почечная недостаточность (при использовании контраста)
-
Аллергия на контрастное вещество
Также возможно снижение качества изображения при высокой подвижности пациента или артефактах от брекетов и зубных протезов.
Что лучше: МРТ или КТ ангиография?
МРТ и КТ-ангиография — два разных метода визуализации сосудов. У каждого есть свои плюсы и минусы:
-
МРТ — предпочтительнее при хронических заболеваниях, противопоказаниях к йодсодержащим контрастам, необходимости частого повторения обследований.
-
КТ — быстрее, более чувствителен к кальцинатам, используется при острых состояниях (например, инсульт).
Выбор метода всегда осуществляется врачом, с учетом клинической ситуации.
Где можно пройти МРТ артерий головного мозга
Исследование выполняется в специализированных диагностических центрах, многопрофильных клиниках и государственных больницах, оснащённых МР-томографами. Важно выбирать учреждения с квалифицированным персоналом и современным оборудованием (желательно 1,5 Тл и выше).
Заключение
МРТ артерий головного мозга — современный, безопасный и информативный метод диагностики сосудистой патологии. Он играет ключевую роль в раннем выявлении угрожающих жизни состояний, таких как аневризмы, стенозы и тромбозы. При своевременном проведении исследования и правильной интерпретации результатов удается значительно повысить эффективность лечения и снизить риск осложнений.





